ABD'de yaşayan covid-19 hastası olan 8 yaşındaki çocuk felç oldu!
ABD'de yaşayan 8 yaşındaki Avella Braun, koronavirüsün oto-bağışıklık hastalığını tetiklemesi sonrası felç geçirdi. Braun'un tedavisi sürerken, doktorlar 'Dünyanın her yerinde benzer vakalar görüyoruz' diye uyarıda bulundu.
Koronavirüse yakalanan 8 yaşındaki ABD'li çocuk nadir görülen bir durum ile karşılaştı. Minnesota'da yaşayan Avella Braun Mart ayı başlarında virüse yakalandıktan sonra hayatı tepetaklak oldu.. The Mirror gazetesindeki habere göre, Braun koronavirüs nadir görülen oto-bağışıklık hastalığını tetikledikten sonra felç kaldı.
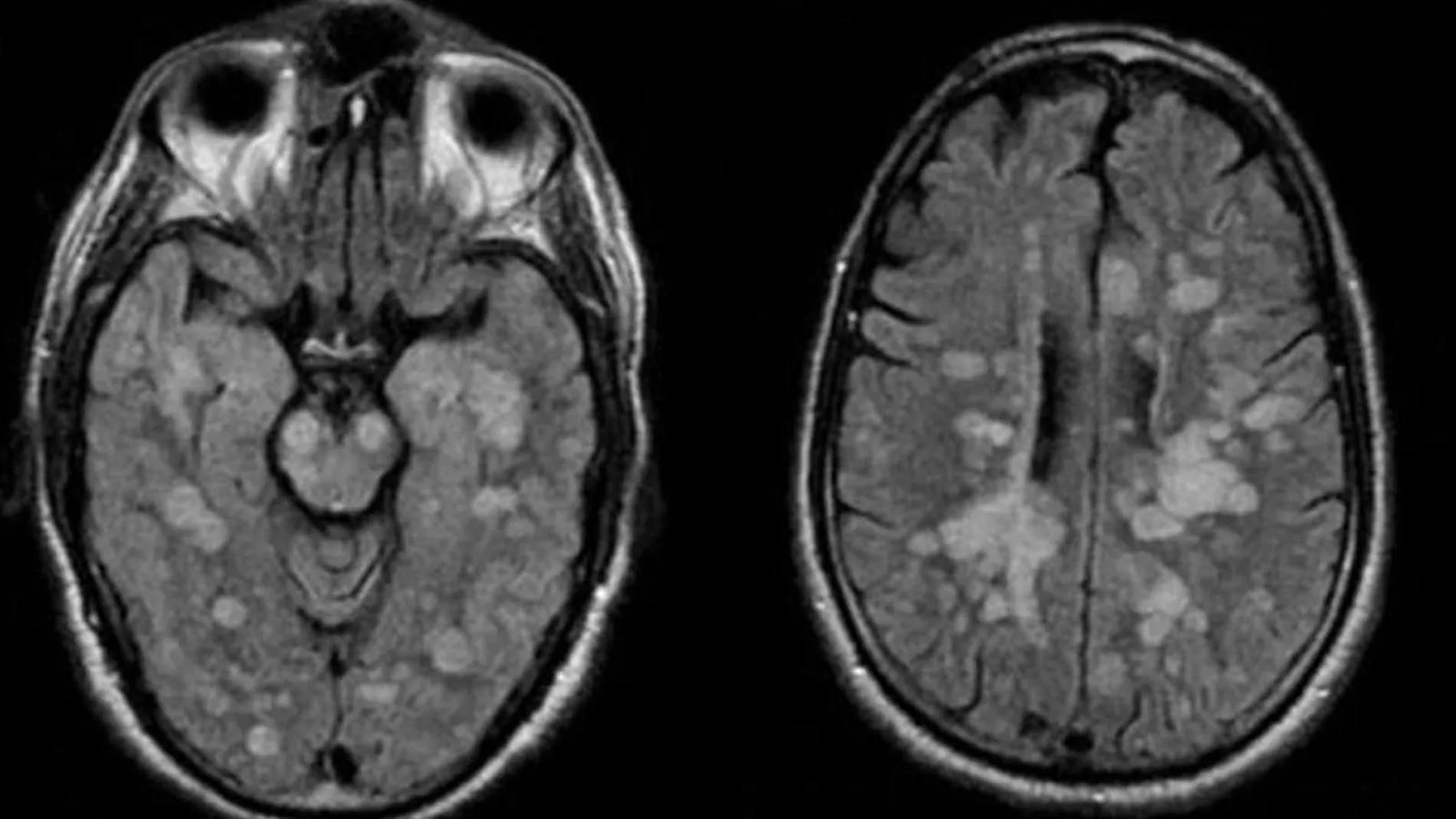
Talihsiz çocuğa vücudun bağışıklık sistemine omurilik ve beynin şişmesine neden olan nadir bir akut yayılmış Ensefalit (ADEM) teşhisi koyuldu.
Avella’nın doktoru Dr. Michael Pitt, "Bu vakada yaşananların en büyük tetikleyicisi koronavirüs olmuştur” dedi.

Braun’un Akut dissemine ensefalomyelit (ADEM) santral sinir sistemi bozukluğuna yakalandığı bildirildi. Tıp uzmanları, Haziran ayında koronavirüs ve ADEM arasındaki bağlantıyı kurmaya başladıklarını açıklamıştı.
Uzmanlar, dünyada, bunun ilk olmadığını ve koronavirüs atlatan kişilerde benzer vakalara rastladıkları konusunda uyarıda bulunuyor.