Aşı pasaportunu, ellerine mikroçip olarak taktırdılar! Anahtar ve kimlik taşımayı bıraktılar!
Koronavirüs ile mücadele kapsamında 100’den fazla katılımcılı mekanlarda aşı pasaportu uygulamasına geçileceğinin duyurulmasının ardından İsveç’te, ellerine mikroçip taktıranların sayısı arttı.
İsveç'te yeni tip koronavirüs (Kovid-19) aşı pasaportunun uygulamaya geçirileceğinin duyurulmasının ardından ellerine mikroçip taktıranların sayısının arttığı bildirildi.
Aftonbladet gazetesindeki haberde, ülkede 1 Aralık'tan itibaren 100 kişiden fazla katılımcının olduğu etkinliklerde aşı pasaportu istenmesi nedeniyle ellerine mikroçip taktıranların oranında artış kaydedildiği belirtildi.
ANAHTAR, KİMLİK BİLET TAŞIMAYI BIRAKTILAR
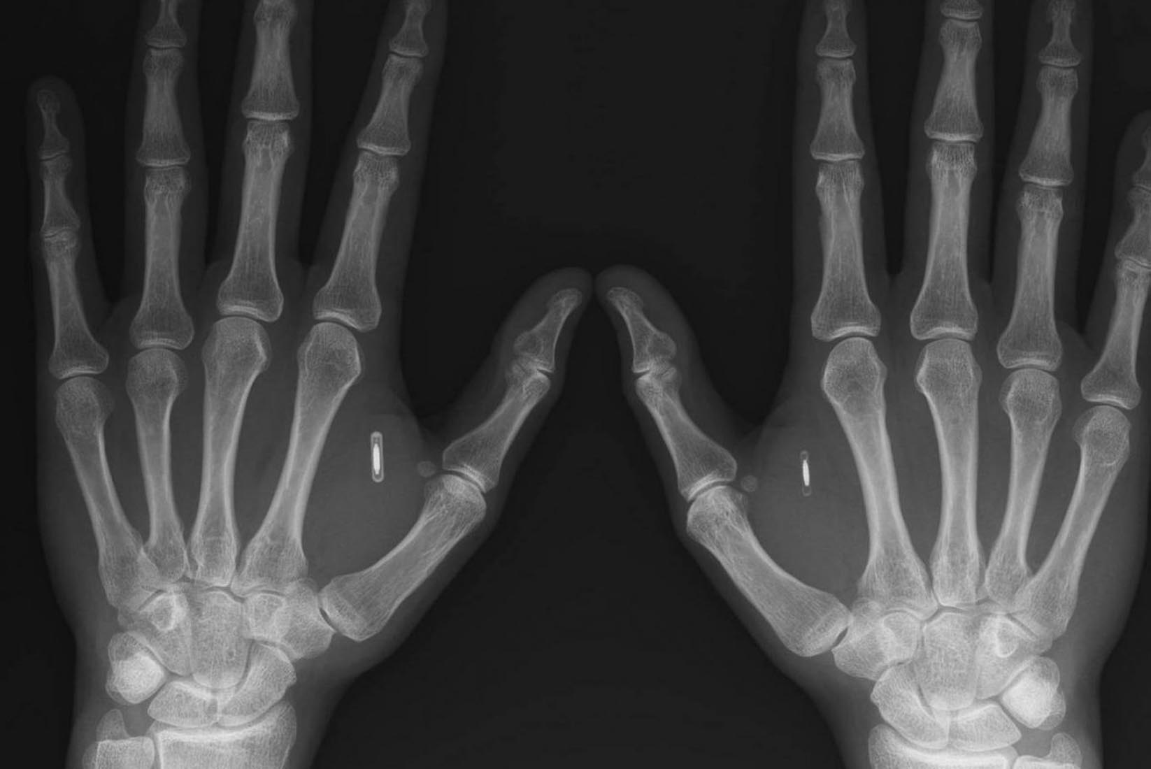
Gazeteye açıklama yapan Hannes Sjöblad, aşı pasaportunun olduğu mikroçipi sol eline taktırdığını söyledi. Cep telefonunu sol eline almasıyla Kovid-19'la ilgili kendisine ait bütün bilgilerin cep telefonuna yansıdığını kaydeden Sjöblad, bunun yeni bir eğilim olduğunu ve İsveçliler arasında popüler duruma geldiğini ifade etti. Olle Helkimo da çipi sol eline taktırdığını, kendisini bu şekilde daha sağlıklı hissettiğini kaydetti.
6 BİN KİŞİ TAKTIRDI
Dijital kültürler araştırmacısı Moa Petersen de İsveç'te şu ana kadar 6 bin kişinin eline çip takıldığını belirtti. Petersen, çip taktıranların Radyo Frekans Tanımlama Teknolojisi (RFID) sayesinde yanlarında aşı pasaportu, anahtar, kimlik kartı ve hatta tren bileti taşımayı bıraktıklarına işaret etti. Bu durumun dış dünyada büyük tepki aldığına dikkati çeken Petersen, tepkiye rağmen İsveçlilerin teknolojiye yüksek güven duyduğunu vurguladı. İsveç Devlet Demiryolları Şirketi (SJ) 2017'de ellerine mikroçip taktıranların artması sonucu mikroçip bilet okuma uygulamasına başladıklarını duyurmuştu.

