Pnömoni nedir? Ne demek? Belirtileri neler? Çeşitleri?
Sağlık Bakanı Fahrettin Koca'nın, koronavirüs salgını nedeniyle son 3 gündür 5 ilde pnömoniye rastlanmadığını açıklamıştı. Halk arasında zatürre olarak bilinen pnömani bir akciğer iltihaplanmasıdır. Peki Pnömoni nedir? Ne demek? Belirtileri neler? Çeşitleri?
Sağlık Bakanı Fahrettin Koca'nın açıkladığı Türkiye Günlük Koronavirüs Tablosu verilerine göre vaka sayısı tekrar binin altına düşerken Malatya, Trabzon, Kilis, Yalova, Bayburt ve Ardahan’da 3 gündür pnömoniye hiç rastlanmadığını açıkladı. Salgında psikolojik eşik olan vaka sayısının 1000'in altına düşmesi önem arz ederken pnömoni kavramı merak konusu oldu. Peki Pnömoni nedir? Ne demek? Belirtileri neler? Çeşitleri? İşte detaylar...

PNÖMONİ NE DEMEK?
Pnömoni halk arasındaki bilinen tabiriyle zatürre; kısaca akciğer dokusunun iltihaplanmasıdır. Bakteriler başta olmak üzere çeşitli mikroorganizmalara bağlı olarak meydana gelir. Bazı pnömoni türlerinde hasta kişiden sağlam kişilere doğrudan bulaşma riski vardır. Ama hastalık çoğunlukla, hastanın kendi ağız, boğaz veya sindirim kanalında bulunan mikropların akciğere ulaşmasıyla meydana gelmektedir. Normal durumda hastalığa neden olmayan bu mikroplar, vücut savunması zayıf düşmüş kişilerde pnömoni oluşturur. Dolayısıyla pnömoni'nin oluşmasında bulaşmadan çok, kişinin vücut direncini kıran risk faktörleri rol oynar.
PNÖMONİ ÇEŞİTLERİ
Pnönomi'nin ,Toplum kökenli,Hastane kökenli ve Bağışıklığı baskılanmış olarak üç çeşidi bulunmaktadır.

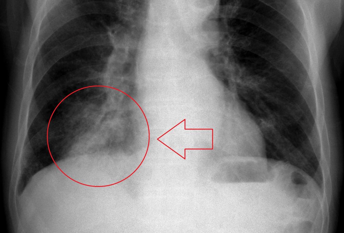
PNÖMONİ BELİRTİLERİ NELER?
Üşüme- titreme, 39- 40 °C'ye varan yüksek ateş, öksürük, kirli, iltihaplı (yeşil, sarı, pas rengi) balgam çıkarma ve yan ağrısı olabilir. Bazı pnömoni türlerinde ise sinsi başlangıç olur. Birkaç gün devam eden iştahsızlık, halsizlik, eklem ve kas ağrılarını takiben kuru öksürük, ateş yükselmesi, bulantı, kusma, baş ağrısı gibi belirtiler olabilir. Bu şikayeti olan hastalar mutlaka doktora başvurmalıdır. Pnömoni ihmal edilmemesi gereken bir sağlık sorunudur. Erken teşhis edilmesi ve gecikmeden tedaviye başlanmasının ölümleri azalttığı bilinmektedir. Hastanın yakınmaları pnömoni'yle uyumlu ise genellikle yapılan muayene ve akciğer röntgenindeki bulgularla teşhis konulabilir. Gerekirse kan ve balgam tahlilleri yapılabilir.

PNÖMONİ TEDAVİ EDİLİR Mİ?
Pnömoni nedenleri arasında dünyada en sık rastlanan mikroorganizma Streptococcus pneumoniae' dir. Pnömokok dediğimiz bu bakteriye karşı hazırlanmış aşı bulunmaktadır. Pnömokoklar başta üst solunum yollarında olmak üzere pnömoni dışında enfeksiyonlara da yol açabilir. Bu aşı tamamen olmasa da yüksek riskli kişilere uygulandığında kısmen koruma sağlayabilmektedir. Aşı kas içine yapılmaktadır. 5 yıl sonra tekrarı yapılır.
PNÖMONİ AŞISI
Birçok vakada pnömoni evde tedavi edilebilir. Ağır olguların, yaşlı hastaların, oksijen tedavisi veya yoğun bakım desteği gerektiren hastaların hastaneye yatması gerekir. Tedavi hastaya göre değişir. Tedaviye erken başlandığında ve ayaktan tedavi edilebilen olgularda sonuçlar yüz güldürücüdür. Ancak teşhis ve tedavisi gecikmiş, ağır pnömoni olgularında ölüm oranı yüksektir.
Kaynak: Medical Park